servicio de endodoncia en fusagasuga

Endodoncia: Diente sano, sonrisa completa

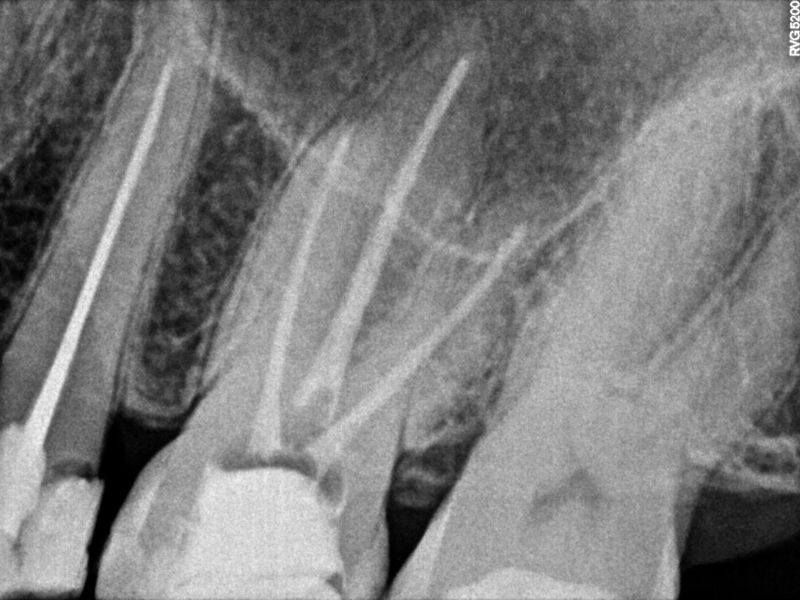
Cuando un diente duele, no siempre hay que despedirse de él. Con la endodoncia, eliminamos el problema desde la raíz —literalmente— y salvamos esa pieza que aún puede seguir contigo. Nos encargamos de tratar conductos infectados o dañados para que recuperes tu tranquilidad y tu sonrisa, sin dolor.

Usamos tecnología moderna para realizar tratamientos seguros, precisos y cómodos. Nuestro objetivo es que vuelvas a sonreír, comer y vivir sin molestias. Porque conservar un diente natural es siempre la mejor opción.

  • Elimina el dolor dental de forma definitiva
  • Mejora la funcionalidad de la mordida y la estética
Agenda tu Cita

Nuestro Trabajo